It has been a long six years trying to find a diagnosis. Based on my symptoms and the way they have progressively worsened, we’ve known it was some kind of degenerative neuromuscular disease, but we haven’t quite known the prognosis. Early on it was thought to be MS, and I was able to work through it, making some modifications to how I did things, but vastly able to continue life as normal. Things continued to decline though, and I found myself losing the strength and endurance I needed to continue working as a paramedic. This is when I cut back to part time paramedic, and also took an office job in organ donation. As fulfilling as that was, I eventually found myself no longer able to make the drive, or even remain upright for the hours that it required. Eventually I had to face that I could no longer safely work in any job, and I needed to save what little energy I had for my family and friends.

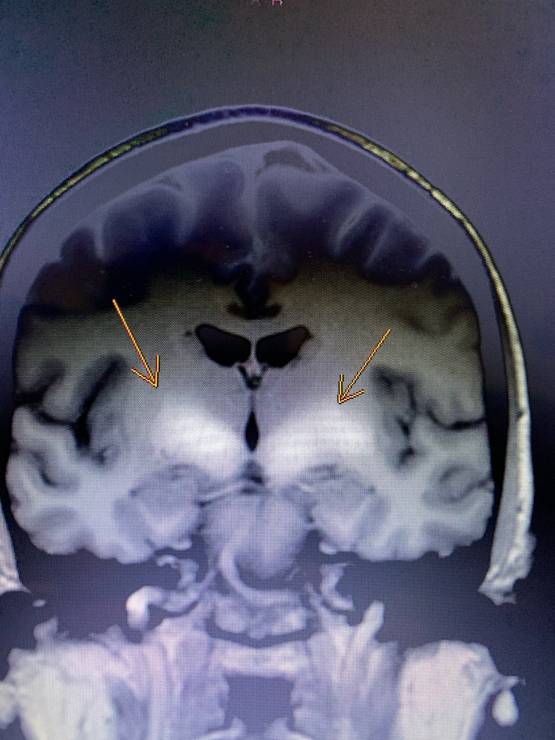
It’s been a frightening journey at times, especially with the unknowns, but we are beginning to have some clarity. A recent brain MRI showed significant damage to my brain stem, and basal ganglia, which are responsible for many of the automatic functions of the body. This information shed light on why I was having symptoms related to that area of the brain, like trouble regulating my breathing. All of these pieces started to fit together and pointed to Multiple System Atrophy. In some ways this was a relief, as the contenders like ALS have a very short length of survivability. MSA comes with its own fatal prognosis though, typically within 5-15 years. Being at year six, I already feel blessed for the time I’ve had and continue to enjoy. I’ve tried to stay in the moment and be continually grateful, although I’ll admit that sometimes my attitude stinks and I fall into a grumpy state of forgetting the gifts I’ve been given.
I know that God knows my heart and hears my prayers, and those of so many who love me. I know that He can take this suffering from me if He chooses to. But even if He doesn’t, I will still choose hope and thank Him for every moment He allows me to have earthside.
I hope you’ll help me, dear readers, to continue to find Hope and Grace in the day to day. I know that it’s there, and sometimes I just need help to lift my eyes up for it. Please don’t treat me differently; let’s laugh and dance and do big and small things without fear of the future. I’m ready for today, how about you?

Please leave me a comment, it lets me know you’re listening!





























































